Laminate Veneers: Procedure, Cost, and Benefits
Are you tired of hiding your smile due to chipped, discoloured, or misshapen teeth? Consider cosmetic dentistry and laminate veneers as a solution. Don't let tooth decay hold you back from having a confident smile. Laminate veneers are the answer to your dental woes. These laminate veneers, made from porcelain or composite material, are designed for cosmetic dentistry purposes to cover the front surface of your teeth, instantly transforming their appearance. With cosmetic dentistry, laminate veneers can help you say goodbye to stained teeth and hello to a radiant smile. Whether you have tooth sensitivity or not, the natural tooth can be transformed with the help of a dentist. Whether you want to change the colour, shape, or size of your teeth, cosmetic dentistry veneers offer a custom-made dental treatment solution tailored specifically for you. The dental team will create veneers that match the natural tooth, providing an aesthetically pleasing result. Cosmetic dentistry offers a variety of options for fixing dental issues, including laminate veneers. These veneers can be used to treat front teeth and provide a long-lasting solution. Say goodbye to self-consciousness and hello to confidence with cosmetic dentistry. Laminate veneers are a great solution for patients who want to improve the appearance of their front teeth. With veneers, there is no need for extensive tooth prep.
Benefits and Advantages of Laminate Veneers
Laminate veneers offer numerous benefits for cosmetic dentistry patients, enhancing the smiles and self-confidence of many individuals. Let's explore some of the key reasons why laminate veneers are a popular choice for improving the appearance of a person's teeth.
Enhances Smile and Boosts Self-Confidence
One of the primary benefits of laminate veneers is their ability to transform a person's smile. Whether you need dental treatment for chipped, stained, or misaligned teeth, veneers can help. The dental team can use veneers to conceal these imperfections and create a more uniform, aesthetically pleasing smile for each person. By covering up dental flaws, veneers give a person the confidence to show off their pearly whites without feeling self-conscious about any dental issues.
Resistant to Staining from Food and Drinks
Unlike natural teeth, laminate veneers are highly resistant to staining caused by food and drinks. This makes them a great option for a person looking to maintain a bright and stain-free smile. This means that even if a person enjoys a cup of coffee in the morning or indulges in a glass of red wine in the evening, their dental treatment with veneers will remain unaffected by these staining agents. With proper care and maintenance, your dental treatment veneers can retain their bright appearance for years to come. It is important for a person to take care of their laminate veneers in order to ensure they last.
Requires Minimal Tooth Alteration during the Procedure
One advantage of laminate veneers is that they require minimal alteration to a person's natural teeth during the procedure. Unlike other cosmetic treatments that may involve extensive tooth reshaping or removal, veneer placement typically involves removing only a small amount of enamel from the front surface of each tooth. In certain cases, 'non-prep' or 'no-prep' veneer restorations are also carried out, indicating that no reduction is performed on the teeth. Veneers are a great option for individuals who want to enhance their smile without undergoing extensive prep veneers. This conservative approach helps preserve as much healthy tooth structure as possible while still achieving remarkable cosmetic results.
Can Correct Multiple Cosmetic Dental Concerns at Once
Another significant benefit of laminate veneers is their versatility in addressing multiple cosmetic dental concerns simultaneously. This treatment can greatly enhance a person's smile and improve their overall appearance. Whether you're a person dealing with discoloured teeth, gaps between teeth, or minor misalignments, veneers can effectively correct these issues all at once. Rather than a person undergoing separate treatments for each concern, getting veneers allows a person to achieve a comprehensive smile makeover in a single procedure.
Provides a Natural-Looking Result that Blends with Surrounding Teeth
One of the most appealing aspects of laminate veneers is their ability to provide a natural-looking result that seamlessly blends with the surrounding teeth of a person. Veneers are custom-made to match the shape, size, and colour of a person's existing teeth, ensuring a harmonious and cohesive appearance. This means that once your veneers are in place, they will be virtually indistinguishable from your natural teeth, giving you a beautiful and natural smile.
Procedure for Getting Laminate Veneers
So, you've decided to enhance your smile with laminate veneers. Great choice! Now let's dive into the process of getting those pearly whites looking their best with veneers. Here's a breakdown of what you can expect during your journey to a dazzling smile with veneer.
Initial Consultation with a Dentist
The first step in obtaining laminate veneers is scheduling an initial consultation with your dentist. This is where you'll discuss your goals and expectations for the veneer procedure. You can bring up any concerns or questions you may have, and your dentist will assess whether veneers are the right option for you. During this consultation, it's crucial to be open and honest about your hopes for achieving a veneer. Your dentist will examine your teeth and determine if they are suitable candidates for veneers. They will also explain the entire process so that you have a clear understanding of what lies ahead.
Teeth Preparation: Enamel Removal
Once you and your dentist have agreed on moving forward with laminate veneers, the next step is teeth preparation. This involves removing a small amount of enamel from the front surface of each tooth that will receive a veneer. Don't worry; this is done under local anesthesia, so it won't be painful! Enamel removal is necessary to create space for the veneer and ensure proper adhesion. Your dentist will take great care during this step to preserve as much healthy tooth structure as possible while still achieving optimal results. In suitable cases, we preserve teeth using veneer restorations without the need for any reduction.
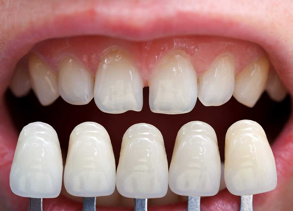
Impressions Taken for Custom Veneers
After preparing your teeth, impressions will be taken to create custom-made veneers specifically tailored to fit your smile perfectly. These impressions serve as molds that capture the exact shape and size of your prepared teeth. The impressions are then sent off to a dental lab where skilled technicians will use them as a guide to fabricate your custom veneers. The lab takes into account factors such as colour, shape, and size to create veneers that blend seamlessly with your natural teeth.
Temporary Veneers
While your permanent veneers are being crafted in the dental lab, you may be fitted with temporary veneers. These serve as a temporary solution to protect your prepared teeth and maintain aesthetics until the final placement of the permanent veneers. Temporary veneers are usually made from acrylic or composite material. They may not have the same level of durability as permanent ones but can still provide you with an idea of what your new smile will look like.
Final Placement: Bonding Veneers onto Prepared Teeth
Once your custom veneers are ready, it's time for the grand finale – their final placement! Your dentist will remove the temporary veneers and carefully bond the permanent ones onto your prepared teeth using a strong dental adhesive. During this step, your dentist will ensure that each veneer is positioned correctly and fits snugly against your natural teeth. They will also make any necessary adjustments to achieve optimal bite alignment and overall aesthetics. And voila! With the bonding process complete, you'll be able to enjoy a brand-new smile that looks natural, beautiful, and confident! Remember, getting laminate veneers is a multi-step process that requires expertise and precision. It's essential to choose a skilled dentist who has experience in cosmetic dentistry to ensure successful results.
Cost of Laminate Veneers: Factors to Consider
There are several factors that can influence the price you will pay. Understanding these factors is essential for making an informed decision about your dental treatment. Let's take a closer look at some key considerations when determining the cost of laminate veneers.
Material: Porcelain vs. Composite
One significant factor that affects the cost of laminate veneers is the material used. There are two primary options: porcelain and composite resin. Porcelain veneers tend to be more expensive than composite veneers due to their durability, natural appearance, and stain resistance. However, composite veneers offer a more affordable alternative without compromising on aesthetics or functionality. Porcelain Veneers: Pros:
Porcelain veneers have a longer lifespan.
They provide perfect aesthetic results.
Stain-resistant properties keep them looking brighter for longer.
Cons:
Porcelain veneers require multiple visits to complete.
They may be more prone to chipping or cracking.
The overall cost is higher compared to composite veneers.
Number of Veneers Needed
The number of laminate veneers required also plays a role in determining the overall cost. Some individuals may only need one or two veneers to address specific cosmetic concerns, while others may require a full set of upper and lower teeth veneered for a complete smile makeover. Naturally, the more extensive the treatment area, the higher the cost will be. Pros:
Addressing specific problem areas with just a few veneers can be more budget-friendly.
A full set of upper and lower teeth can provide a comprehensive transformation.
Cons:
The price increases as more individual teeth require treatment.
Location and Reputation of Dental Clinic
The location and reputation of your chosen dental clinic can significantly impact the cost of laminate veneer treatment. Dental practices situated in upscale areas or those with a renowned reputation may charge higher fees for their services. On the other hand, clinics located in more affordable regions or those that are less well-known might offer veneers at a lower cost. Pros:
Reputable dental clinics often provide high-quality treatment and exceptional results.
Clinics in more affordable areas can offer cost savings without compromising on quality.
Cons:
Choosing a prestigious clinic may come with a higher price tag.
Opting for a lesser-known clinic could carry some uncertainty about the quality of service.
Additional Procedures: Teeth Whitening
In some cases, additional procedures may be necessary before getting laminate veneers. One common example is teeth whitening. If your natural teeth have significant discoloration or staining, it is advisable to undergo teeth whitening before getting veneers to ensure a uniform and aesthetically pleasing result. However, it's important to note that these supplementary procedures will add to the overall cost of your treatment. Pros:
Teeth whitening enhances the overall appearance of your smile.
It ensures a seamless blend between your natural teeth and veneers.
Cons:
Additional procedures like teeth whitening can increase the total cost of treatment.
It may require extra time and appointments to complete the entire process.
Aftercare Tips for Maintaining Laminate Veneers
To ensure the longevity and beauty of your laminate veneers, it's crucial to follow proper aftercare practices. Here are some essential tips to help you maintain your veneers and keep your smile looking its best:
Practice good oral hygiene by brushing and flossing regularly
Maintaining a consistent oral hygiene routine is vital for the health of your natural teeth as well as your veneers. Brushing at least twice a day with a soft-bristled toothbrush and fluoride toothpaste helps remove plaque buildup and prevent staining. Be sure to use gentle, circular motions when brushing around the edges of your veneers to avoid damaging them. Flossing daily helps remove food particles and plaque from between your teeth and along the gumline.
Avoid biting hard objects or using teeth as tools
While laminate veneers are durable, they can still be susceptible to damage if subjected to excessive force or pressure. It's important to avoid biting down on hard objects like ice cubes, pens, or fingernails, as this can cause chipping or cracking of the veneer surface. Similarly, refrain from using your teeth as tools to open packages or bottles, as this can also lead to damage.
Schedule regular dental check-ups and cleanings
Regular visits to your dentist are essential for maintaining both the health of your natural teeth and the condition of your laminate veneers. During these check-ups, your dentist will examine your veneers for any signs of wear or damage and address any concerns you may have. Professional cleanings help remove stubborn stains that may accumulate over time, keeping your smile bright and vibrant.
Use non-abrasive toothpaste to prevent scratching the veneer surface
When choosing toothpaste for brushing with laminate veneers, opt for non-abrasive formulas that won't scratch or dull their surfaces. Abrasive toothpastes can wear down the outer layer of the veneers, compromising their appearance and longevity. Look for toothpaste specifically designed for use with veneers or consult your dentist for recommendations.
Wear a mouthguard during sports activities to protect veneers
If you participate in contact sports or any activity that poses a risk of dental injury, it's essential to protect your laminate veneers by wearing a mouthguard. Mouthguards provide a cushioning barrier between your teeth and potential impacts, reducing the risk of damage to both your natural teeth and veneers. Custom-fitted mouthguards are available from your dentist and offer the best protection and comfort. By following these aftercare tips, you can help ensure that your laminate veneers remain in excellent condition for years to come. Remember to maintain good oral hygiene practices, avoid biting hard objects, schedule regular dental check-ups, use non-abrasive toothpaste, and protect your veneers during physical activities. With proper care, you can enjoy a beautiful smile that lasts.
Comparison: Veneers vs. Crowns
Laminate veneers and crowns are two popular options to consider. While both can enhance the look of your smile, they serve different purposes and have distinct characteristics. Let's take a closer look at the comparison between veneers and crowns.
Veneers primarily address cosmetic concerns, while crowns provide more structural support
If you're looking to correct minor cosmetic issues such as stained or chipped teeth, laminate veneers may be the ideal solution for you. Veneers are thin shells made from porcelain or composite resin that are bonded to the front surface of your teeth. They can effectively improve the shape, size, color, and overall appearance of your teeth. On the other hand, dental crowns offer more significant structural support for damaged or decayed teeth. Crowns are tooth-shaped caps that encase the entire tooth, providing strength and protection. They are often recommended for teeth with extensive damage or after root canal treatment.
Less tooth reduction is required for veneer placement compared to crowns
One advantage of choosing laminate veneers is that they require minimal tooth reduction during the preparation process. This means that only a small amount of enamel needs to be removed from your natural teeth before placing the veneers. As a result, most of your original tooth structure remains intact. Additionally, veneer restorations without the need for any reduction are also possible. In contrast, dental crowns necessitate more substantial tooth reduction to accommodate their thickness and ensure a proper fit. The amount of enamel removed depends on each individual case but generally involves reducing all sides of the tooth evenly.
Crowns cover the entire tooth, while veneers only cover the front surface
Another key difference between veneers and crowns lies in how much of your natural tooth is covered by each restoration option. Dental crowns encompass the entire visible portion of your tooth above the gumline. This provides comprehensive coverage and protection for teeth that have suffered extensive damage or decay. Veneers, on the other hand, only cover the front surface of your teeth. They are designed to improve the appearance of your smile by enhancing the color, shape, and size of your teeth. Veneers can be an excellent choice if you have minor cosmetic concerns that do not require full coverage.
Veneers are suitable for minor cosmetic issues, while crowns are used for more extensive damage or decay
The severity of your dental condition plays a crucial role. Laminate veneers are best suited for individuals with mild cosmetic issues such as discolored or slightly misaligned teeth. They can also help to close gaps between teeth and improve their overall symmetry. On the other hand, dental crowns are typically recommended for cases where a tooth has suffered extensive damage due to decay, trauma, or root canal treatment. Crowns provide strength and stability to weakened teeth and can restore their functionality. But with the recent advancements in material quality and techniques, achieving excellent aesthetic results with crowns has become possible.
Achieving a Beautiful Smile with Laminate Veneers
Congratulations! You've reached the end of our blog post on laminate veneers. By now, you have learned about the numerous benefits and advantages of laminate veneers, the procedure for getting them, factors to consider, Aftercare tips for maintaining your veneers, and even a comparison between veneers and crowns. Armed with this knowledge, you are well-equipped to make an informed decision about whether laminate veneers are right for you. Now that you understand how laminate veneers can transform your smile and boost your confidence, why wait any longer? Take the first step towards achieving a beautiful smile by scheduling a consultation with your dentist today. They will be able to assess your individual needs and discuss how veneers can help you achieve the smile of your dreams. Don't let anything hold you back from showing off your pearly whites!
Frequently Asked Questions about Laminate Veneers
Are laminate veneers permanent?
With proper care and regular dentist visits, they can last for many years.
Will getting laminate veneers hurt?
The process of getting laminate veneers is usually painless as local anesthesia is used during the procedure. You may experience some sensitivity or discomfort afterwards, but this is temporary and should subside within a few days.
Can I still eat my favorite foods with laminate veneers?
Yes! Laminate veneers are designed to be strong and durable. While it's best to avoid biting into hard objects like ice or using your teeth as tools, you should be able to enjoy most of your favorite foods without any issues.
Do laminate veneers require special care?
Maintaining good oral hygiene practices such as brushing twice daily and flossing regularly is essential for the longevity of your veneers. It's also recommended to avoid habits like nail-biting or chewing on pens, as these can potentially damage your veneers.
Can laminate veneers fix crooked teeth?
Laminate veneers can help improve the appearance of mildly crooked teeth by creating a straighter and more aligned smile. However, if you have severe misalignment or orthodontic issues, your dentist may recommend alternative treatments such as braces or clear aligners.
